最近“白肺”这一话题引起了社会大众广泛的关注。据报道,有老人新冠感染后并未出现发烧、咳嗽的症状,但四五天后神志不清,送医检查后发现双肺都已白化。白肺究竟是什么?白肺的高危人群有哪些?什么情况需要警惕?今天,我们就请云南省第一人民医院重症医学科副主任医师钏丽波跟大家聊聊白肺的话题。
钏丽波 云南省第一人民医院 重症医学科 副主任医师 擅长呼吸治疗,重症肺炎、呼吸衰竭,感染性休克、复杂性腹腔感染,多发伤、重型颅脑损伤、心肺复苏后缺血缺氧性脑病、产科危重症的治疗。










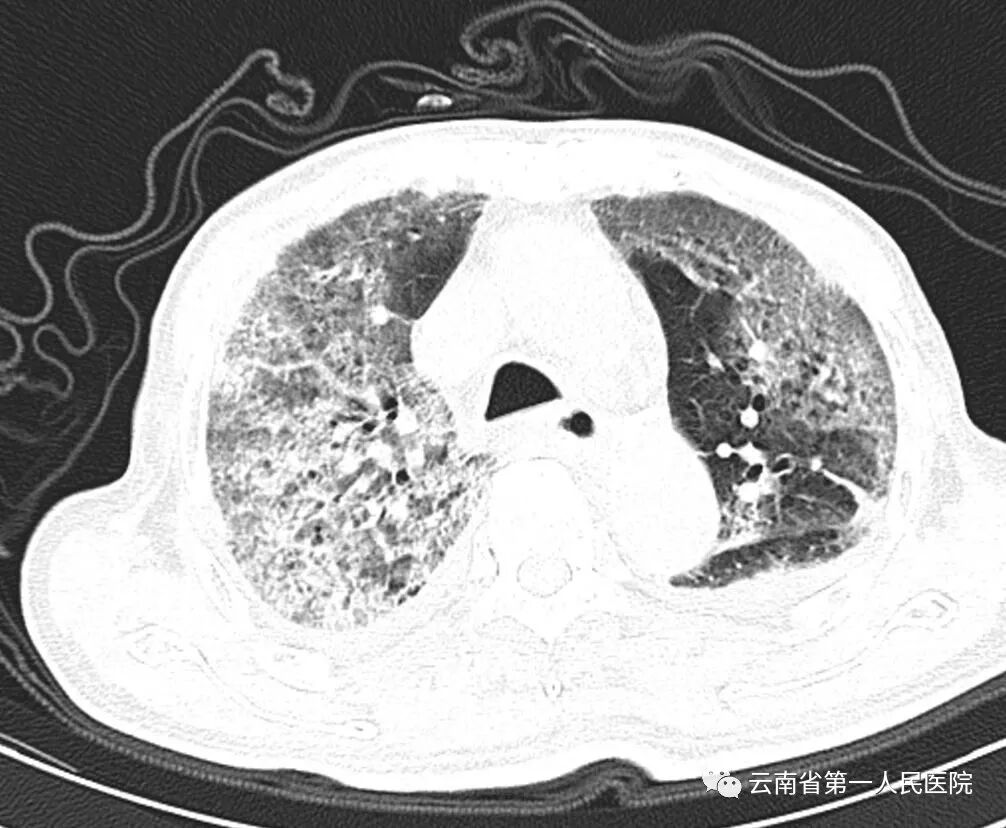
白肺不是一种疾病,而是较严重肺炎的影像学表现。我们的肺是由肺泡组成的,正常情况下肺泡里充满了空气,进行CT或X线检查时,射线穿过肺泡,影像表现为黑色。 但当肺部感染或炎症时,毛细血管渗漏加重,大量渗出液和炎性细胞渗漏到肺泡和肺间质,肺中的气体含量减少,这样X射线就穿不透,在影像学上的表现就是肺变白了,并不是说肺组织本身变成了白色。


很多疾病都可能引起白肺,如严重的病毒性肺炎、细菌性肺炎、真菌性肺炎、非感染性炎症渗出都可能导致白肺。 并不是只要肺部出现了炎症都叫白肺,一般肺部炎症比较重、渗出液较多,白色影像的面积达到70%—80%时,才称为白肺。

免疫功能正常的情况下,绝大多数人很难出现白肺。高龄或免疫力低下的人感染后容易发展成危重症、出现白肺,主要是: 高龄人群,年龄大于等于65岁的; 失能失智的人群; 没有接种过疫苗的人群; 有各种慢性基础疾病的人,包括慢性肺病、高血压、心脏病、糖尿病、肥胖症、肿瘤病人,使用免疫抑制剂的人群,需要定期透析治疗的人群。

虽然收治在ICU的新冠患者基本都是危重症,需要呼吸机辅助呼吸,但实际上白肺并不常见,大部分人感染新冠不会出现白肺。我们医院一天几百个新冠患者就诊,都是自觉症状较重、需要治疗的,真正达到白肺的只有几例。

如果老年人和有基础疾病人群高热超过三天,或者退热几天后再次发热,且咳嗽等症状越来越重就要及时就诊。 出现白肺后,患者会出现低氧血症或呼吸窘迫,所以监测血氧水平、观察呼吸状态以及前后症状的变化等,有助于及早识别异常。如果血氧饱和度低于93%,胸闷气短、活动后气促、心率明显增快,精神、食欲越来越差要及时到医院就诊。 其中,老年人的“沉默性低氧”尤其要警惕,一部分老年人感染后没有明显发热、气促、咳嗽等症状,但是精神状态变差,嗜睡、淡漠、食欲差,要及时监测血氧饱和度或者到医院就诊。 白肺是较为严重肺炎的表现,一般很少出现,大家不必紧张,要加强对老年人和有基础疾病人群的健康监测,当他们发生感染尤其是出现呼吸困难、低氧时,一定要及时就诊。
医院电话
昆明市西山区金碧路157号